Aktualizacja 29 stycznia 2026
Implanty zębowe to coraz bardziej popularna metoda uzupełniania braków w uzębieniu, a ich cena może się znacznie różnić w zależności od lokalizacji oraz specyfiki kliniki. W Szczecinie ceny implantów zębowych obejmują nie tylko samą procedurę wszczepienia, ale także dodatkowe usługi, takie jak konsultacje, badania diagnostyczne czy późniejsze wizyty kontrolne. Warto zauważyć, że koszt jednego implantu może wynosić od kilku do kilkunastu tysięcy złotych, w zależności od użytych materiałów oraz technologii. W przypadku pełnej rekonstrukcji szczęki, która wymaga wszczepienia wielu implantów, całkowity koszt może być znacznie wyższy. Dodatkowo, niektóre kliniki oferują różne opcje finansowania, co może ułatwić pacjentom podjęcie decyzji o leczeniu.
Co wpływa na cenę implantów zębowych w Szczecinie
Cena implantów zębowych w Szczecinie jest determinowana przez wiele czynników, które warto dokładnie przeanalizować przed podjęciem decyzji o leczeniu. Przede wszystkim należy zwrócić uwagę na doświadczenie oraz kwalifikacje stomatologa przeprowadzającego zabieg. Specjaliści z długim stażem pracy często pobierają wyższe opłaty za swoje usługi, jednak ich wiedza i umiejętności mogą zapewnić lepsze efekty leczenia. Kolejnym istotnym czynnikiem jest jakość używanych materiałów oraz technologii. Implanty wykonane z wysokiej jakości tytanu są zazwyczaj droższe, ale charakteryzują się większą trwałością i mniejszym ryzykiem powikłań. Dodatkowo, lokalizacja kliniki ma znaczenie – gabinety znajdujące się w centrum miasta mogą mieć wyższe ceny ze względu na wyższe koszty wynajmu lokalu.
Jakie są zalety i wady implantów zębowych w Szczecinie

Decydując się na implanty zębowe w Szczecinie, warto rozważyć zarówno zalety, jak i potencjalne wady tego rozwiązania. Do głównych zalet należy ich estetyka – implanty wyglądają bardzo naturalnie i są praktycznie niewidoczne dla otoczenia. Ponadto, dobrze wykonane implanty mogą służyć przez wiele lat, a nawet całe życie, co czyni je opłacalną inwestycją w zdrowie jamy ustnej. Implanty pomagają również utrzymać strukturę kości szczęki, co zapobiega jej zanikanie po utracie zębów. Z drugiej strony, istnieją pewne wady związane z tym rozwiązaniem. Proces wszczepienia implantu jest inwazyjny i wymaga chirurgicznego zabiegu, co wiąże się z ryzykiem powikłań oraz dłuższym czasem rekonwalescencji. Dodatkowo, nie każdy pacjent jest odpowiednim kandydatem do tego typu leczenia – osoby z chorobami przyzębia czy cukrzycą mogą napotkać trudności w gojeniu się tkanek wokół implantu.
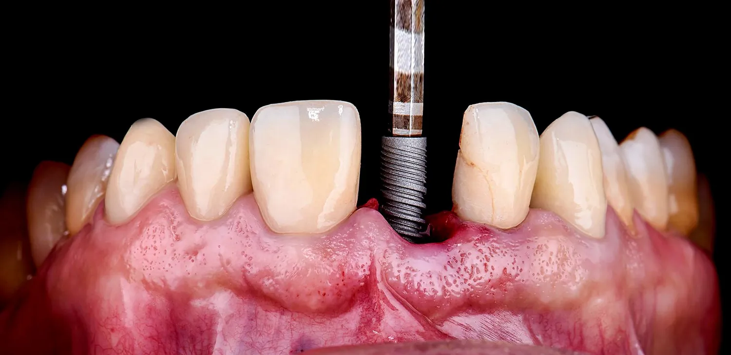
Jak wygląda proces zakupu implantów zębowych w Szczecinie
Proces zakupu implantów zębowych w Szczecinie zaczyna się od wizyty u stomatologa, który przeprowadza dokładną ocenę stanu zdrowia jamy ustnej pacjenta oraz wykonuje niezbędne badania diagnostyczne. Na podstawie tych informacji lekarz podejmuje decyzję o dalszym postępowaniu oraz przedstawia pacjentowi szczegółowy plan leczenia wraz z orientacyjnymi kosztami. Po zaakceptowaniu planu następuje etap przygotowawczy, który może obejmować zabiegi takie jak ekstrakcja uszkodzonych zębów czy regeneracja kości. Następnie przeprowadza się właściwy zabieg wszczepienia implantu, który zazwyczaj odbywa się w znieczuleniu miejscowym lub ogólnym. Po wszczepieniu implantu konieczne są wizyty kontrolne oraz okres gojenia się tkanek wokół implantu, co może trwać kilka miesięcy. Po zakończeniu procesu gojenia można przystąpić do wykonania korony protetycznej na implancie.
Jakie są opinie pacjentów o implantach zębowych w Szczecinie
Opinie pacjentów na temat implantów zębowych w Szczecinie są zróżnicowane, jednak wiele osób podkreśla pozytywne doświadczenia związane z tym rozwiązaniem. Pacjenci często chwalą sobie komfort, jaki zapewniają implanty, zwłaszcza w porównaniu do tradycyjnych protez. Dzięki stabilności i naturalnemu wyglądowi, implanty pozwalają na swobodne jedzenie oraz mówienie, co znacząco wpływa na jakość życia. Wiele osób zauważa również poprawę estetyki uśmiechu, co przekłada się na większą pewność siebie. Z drugiej strony, niektórzy pacjenci wskazują na wysokie koszty związane z leczeniem oraz długi czas oczekiwania na efekty końcowe. Warto również zwrócić uwagę na to, że nie każdy pacjent jest w pełni zadowolony z efektów leczenia – niektóre osoby mogą doświadczać komplikacji, takich jak infekcje czy problemy z gojeniem się tkanek.
Jakie są alternatywy dla implantów zębowych w Szczecinie
Alternatywy dla implantów zębowych w Szczecinie obejmują różne metody uzupełniania braków w uzębieniu, które mogą być mniej inwazyjne lub bardziej przystępne cenowo. Jednym z najczęściej wybieranych rozwiązań są protezy zębowe, które mogą być całkowite lub częściowe, w zależności od liczby brakujących zębów. Protezy są tańszą opcją, ale mogą nie zapewniać takiej samej stabilności i komfortu jak implanty. Inną alternatywą są mosty protetyczne, które polegają na osadzeniu sztucznych zębów na zdrowych zębach sąsiadujących z luką. Mosty również mają swoje ograniczenia – wymagają szlifowania zdrowych zębów i mogą być mniej trwałe niż implanty. Warto również rozważyć leczenie ortodontyczne, które może pomóc w przesunięciu istniejących zębów i zamknięciu luk.
Jakie są najnowsze technologie w dziedzinie implantologii w Szczecinie
Najnowsze technologie w dziedzinie implantologii w Szczecinie znacząco poprawiają jakość i efektywność zabiegów wszczepienia implantów zębowych. Jednym z przełomowych osiągnięć jest zastosowanie cyfrowego planowania zabiegów, które umożliwia precyzyjne zaplanowanie lokalizacji implantu oraz jego kąta nachylenia. Dzięki temu lekarze mogą uniknąć potencjalnych komplikacji oraz zwiększyć sukces całego zabiegu. Kolejnym innowacyjnym rozwiązaniem jest wykorzystanie materiałów biokompatybilnych, które wspierają proces gojenia się tkanek oraz integrację implantu z kością. Techniki takie jak wszczepianie natychmiastowe pozwalają na umieszczenie implantu zaraz po ekstrakcji zęba, co skraca czas leczenia i minimalizuje dyskomfort dla pacjenta. Dodatkowo, rozwój technologii CAD/CAM umożliwia precyzyjne wykonanie koron protetycznych dostosowanych do indywidualnych potrzeb pacjenta.
Jak przygotować się do zabiegu wszczepienia implantu w Szczecinie
Przygotowanie do zabiegu wszczepienia implantu w Szczecinie jest kluczowym etapem, który wpływa na sukces całego procesu. Przede wszystkim warto umówić się na konsultację ze stomatologiem, który oceni stan zdrowia jamy ustnej oraz przeprowadzi niezbędne badania diagnostyczne. Na tym etapie lekarz może zalecić wykonanie zdjęcia rentgenowskiego lub tomografii komputerowej, aby dokładnie zobaczyć strukturę kości szczęki i ocenić możliwości wszczepienia implantu. Ważne jest także omówienie historii medycznej oraz ewentualnych chorób przewlekłych, które mogą wpłynąć na proces gojenia się tkanek. Przed zabiegiem pacjent powinien również zadbać o odpowiednią higienę jamy ustnej oraz unikać palenia papierosów i spożywania alkoholu przez kilka dni przed planowanym terminem zabiegu.
Jak wygląda proces rekonwalescencji po wszczepieniu implantu w Szczecinie
Proces rekonwalescencji po wszczepieniu implantu w Szczecinie jest kluczowy dla osiągnięcia pozytywnych efektów leczenia i wymaga odpowiedniej troski ze strony pacjenta. Po zabiegu pacjent może odczuwać ból oraz dyskomfort w okolicy wszczepionego implantu, co jest normalną reakcją organizmu na interwencję chirurgiczną. Lekarz zazwyczaj przepisuje leki przeciwbólowe oraz antybiotyki, aby zapobiec infekcjom i złagodzić dolegliwości bólowe. W pierwszych dniach po zabiegu zaleca się unikanie intensywnego wysiłku fizycznego oraz stosowanie zimnych okładów na obszar operowany w celu zmniejszenia obrzęku. Ważne jest także przestrzeganie zaleceń dotyczących diety – przez kilka dni należy unikać twardych pokarmów oraz gorących napojów. Regularne wizyty kontrolne u stomatologa pozwalają monitorować proces gojenia się tkanek oraz upewnić się, że implant prawidłowo integruje się z kością szczęki.
Czy warto inwestować w implanty zębowe w Szczecinie
Inwestycja w implanty zębowe w Szczecinie to decyzja, która wymaga przemyślenia wielu aspektów związanych zarówno ze zdrowiem jamy ustnej, jak i finansami osobistymi pacjenta. Implanty oferują wiele korzyści – przede wszystkim przywracają funkcjonalność żucia oraz estetykę uśmiechu, co wpływa na jakość życia i pewność siebie pacjenta. W porównaniu do tradycyjnych protez czy mostów protetycznych, implanty charakteryzują się większą trwałością oraz stabilnością, co sprawia, że są bardziej komfortowe w codziennym użytkowaniu. Choć początkowy koszt leczenia może być wysoki, warto pamiętać o długoterminowych korzyściach związanych z ich stosowaniem – dobrze wykonane implanty mogą służyć przez wiele lat bez konieczności wymiany czy dodatkowych napraw.
Jakie są najczęstsze pytania dotyczące implantów zębowych w Szczecinie
Wielu pacjentów ma wiele pytań dotyczących implantów zębowych w Szczecinie, co jest naturalne przed podjęciem decyzji o leczeniu. Jednym z najczęściej zadawanych pytań jest to, jak długo trwa proces wszczepienia implantu oraz jak wygląda sam zabieg. Pacjenci często zastanawiają się również nad tym, czy zabieg jest bolesny i jakie są metody znieczulenia. Inne pytania dotyczą kosztów oraz tego, co obejmuje cena implantu. Wiele osób interesuje się także czasem rekonwalescencji oraz tym, jak dbać o implanty po ich wszczepieniu.









